You are using a web browser that may not support the design features on this site.
For the best experience, please switch to another browser. We recommend Chrome or Firefox.
With decades of combined experience, our dentists can transform your smile into the one you've always wanted!
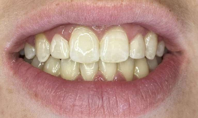
Crowns done to create a more even appearance of front teeth
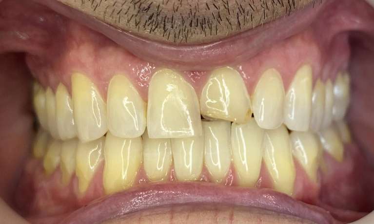
Crowns on upper and lower front teeth to correct esthetics, wear and bite
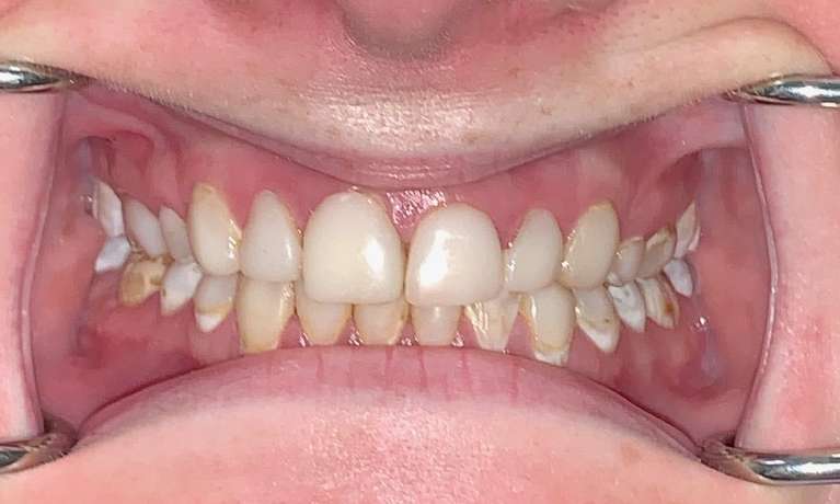
Crowns done on front teeth to close spaces and improve esthetics
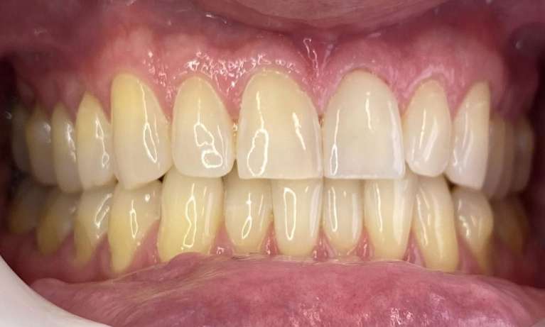
Crowns completed on front teeth to improve esthetics
Repair of fractured tooth with a crown
Dental composite used for bonding to close spaces
Dental composite used to close spaces and fix chipping
Use of tooth color filling material to fix undersized lateral teeth