Skip to main content
Cosmetic Dentistry
Are You Ready for Your Best Smile?

All smiles are beautiful, but if there's something about yours you'd like to improve, cosmetic dentistry offers the solution!

Cosmetic Dentistry | Dentist
Schedule a Cosmetic Dentistry Appointment with Us
Speak with Our Team

Cosmetic Dentistry

Do you look in the mirror and like the smile you see? Is it confident and heartfelt, or do aesthetic flaws make you hold back and prevent you from smiling like you mean it?

At Woodbury Dental Care, we know that all smiles are inherently beautiful. However, if yours isn’t communicating what you want to say, we think you deserve the confidence of knowing you look your personal best. 

Whatever smile improvements you have in mind, our cosmetic dentists in Woodbury, MN, can help you achieve your aesthetic smile goals.

The Benefits of a Confident, Beautiful Smile

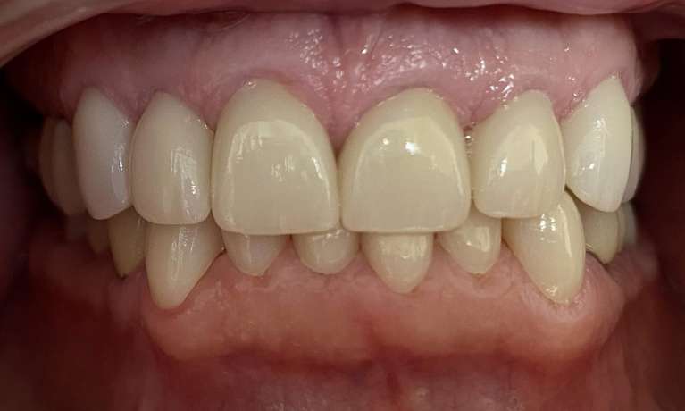
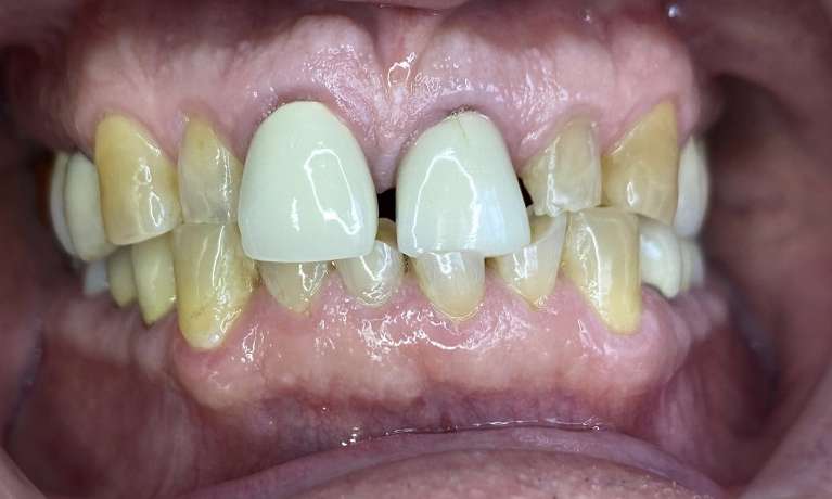
Cosmetic dentistry takes crooked, broken, stained, or gapped teeth and perfects their appearance for a bright, flawless appearance. Even a small aesthetic enhancement like teeth whitening can have a dramatic, positive impact on your smile and self-esteem. 

And when you are confident about your smile, you smile more. Smiling also boosts feel-good hormones like endorphins, dopamine, and serotonin that send a message to your body that you’re happy, and just like that—you feel happier.

When you feel good about your smile’s appearance, the positivity can ripple through your life, and even those around you may notice something different about you. 

How Cosmetic Dentistry Improves Your Smile

You know the feeling you get when you wear a stunning outfit and feel that all eyes are on you? A beautiful, confident smile attracts the best kind of attention, and it all starts by correcting aesthetic issues like:

  • Broken, cracked, or chipped teeth
  • Gapped or unevenly spaced teeth
  • Crooked or crowded teeth
  • Teeth that look too small
  • Poorly shaped teeth
  • Stained, discolored, or yellow teeth

Whether you are concerned about one, two, or all of these flaws, we can create a treatment plan to improve them and give you your dream smile. We can even combine cosmetic procedures with crowns, fillings, or implants for total smile rejuvenation.

 Which Cosmetic Dental Treatment Is Right for You?

We’re excited to get started with your vision for your smile, and the first step is a comprehensive exam and evaluation. It’s crucial to resolve oral health conditions like cavities and gum disease that could affect the outcome of your cosmetic treatment. 

Next, one of our cosmetic dentists will ask you about your vision for your smile to understand your goals and determine how to best help you achieve them. They will present all your options and recommend the most appropriate treatment for your unique needs.

  • Professional teeth whitening: In-office whitening produces results in about an hour, and custom kits contain everything you need to whiten comfortably at home. 
  • Porcelain veneers: Veneers conceal numerous cosmetic flaws. We can use one or two or customize a full set for a stunning smile transformation. 
  • Invisalign clear aligners: Whether you had braces and your teeth have relapsed, or you never had them and are ready for a straighter smile, Invisalign can help you achieve your goals 
  • Tooth-colored fillings: Our tooth fillings are aesthetic because we use natural-looking composite resin shaded to blend seamlessly with your smile. 
  • Cosmetic dental bonding: The same tooth-colored composite resin is used for dental bonding to restore broken teeth, close wide gaps, and improve a tooth’s shape or size. 

Let’s Get Started on Your Smile Makeover!

A smile makeover can be as simple as bonding a single tooth or involve a combination of services to achieve a great new look. Whatever your goals and visions are, the cosmetic dentists at Woodbury Dental Care would love to help you! Please call to schedule an appointment so we can get started!

Frequently Asked Questions

Cosmetic dentistry at Woodbury Dental Care includes aesthetic crowns, fillings, veneers, Invisalign, and teeth whitening to improve your smile’s appearance.

Our dentists understand that our smiles are on display everywhere these days. Whether it’s social media, selfies, or video calls, there’s no hiding cosmetic dental flaws, so ensuring that you always look put together and confident is crucial.

How We Can Improve Your Smile

Big confident smiles attract the best kind of attention, and they start when we correct aesthetic issues like

  • Crooked or crowded teeth
  • Broken, cracked, or chipped teeth
  • Gapped or unevenly spaced teeth
  • Tooth shape or size differences
  • Poorly shaped teeth
  • Stained, discolored, or yellow teeth

If you feel self-conscious about one or more of these flaws bothers you, our cosmetic dentists would love to work with you! Drs. Michael Pelke, Emily Wernberg, Stephanie Wenzel, and David Augustson are committed to helping our patients achieve excellent oral health and understand the power of an attractive, confident smile.

Your Personalized Smile Treatment Plan

We want every person who walks through our doors to have the smile they want. Because you have unique wants, needs, and desires, our dentists will work closely with you to develop a treatment plan to meet them. They will examine your smile, discuss your expectations, and recommend the appropriate treatment to resolve the issues that bother you.

Schedule a Cosmetic Dentistry Appointment

Our cosmetic dentists in Woodbury, MN, would love to meet with you to see how we can help you love your smile. Please call us at (651) 739-7910 to schedule an appointment so we can get started.

Meet Our Doctors:

Dr. Michael Pelke

Dr. Michael Pelke is an owner and most senior dentist at Woodbury Dental Care. He started in private practice in 2002 and teamed up with Dr. Kyle Edlund in 2004. ...

Dr. Emily Wernberg

Dr. Emily Wernberg was born and raised in Eagan, Minnesota. She attended the University of Wisconsin-Madison, earning her Bachelor of Science degree in kinesiology and biology. She decided to continue ...

Dr. Stephanie Wenzel

Dr. Stephanie Wenzel is a third-generation dentist who, along with her father and grandfather, attended the University of Minnesota, where she earned her Bachelor of Science degree in biology and ...

Dr. David Augustson

Dr. David Augustson was born and raised in Sheboygan, Wisconsin. He moved to Minnesota to attend Macalester College, where he graduated with a Bachelor’s Degree in Biology.

Before attending dental school, ...

Dr. Charles Shimota

Dr. Chip Shimota was born and raised in Woodbury, Minnesota. Just as any other lifelong WDC patient would do, he chose to spend the next eight years of his life ...

Let Your Inner Beauty Shine Through Your Smile!
Contact Us