Skip to main content
Tooth-Colored Fillings
Have a Cavity? We Can Help You!

If we discover a cavity during a routine dental exam, our natural-looking tooth fillings create an invisible repair.

Tooth-Colored Fillings | Dentist
Do You Have a Cavity and Need a Tooth Filling?
We Can Help You!

Tooth-Colored Fillings

Have you ever had a cavity? Chances are you have because statistics shared by the Centers for Disease Control indicate that, of all US citizens over age 20, 90 percent have had at least one cavity!

It’s unfortunate because cavities are highly preventable; good oral hygiene habits, a healthy diet, and routine dental care can significantly decrease the risk of cavities and gum disease.

How Do Cavities Develop?

Dental plaque is a sticky biofilm that coats your teeth and consists mainly of bacteria. When you consume sweet or starchy foods (carbohydrates), bacteria in the mouth feed on them and create acid. 

As this process is repeated throughout the day, teeth are bathed in acid that erodes their enamel. If you don't brush and floss to remove plaque, the repeated acid attacks eventually cause a hole in the tooth called a cavity. 

Since tooth decay is progressive, it will continue to advance and penetrate deeper into the enamel and eventually reach the tooth's nerve, causing a toothache. 

The progressive nature of decay is one reason why dental prevention is so crucial. Brushing twice a day and flossing once helps control plaque, and dental checkups every six months allow our dentists to find decay and treat it promptly. The sooner we remove decay, the more healthy tooth structure we can preserve, and the less likely you will experience a toothache. 

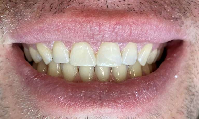
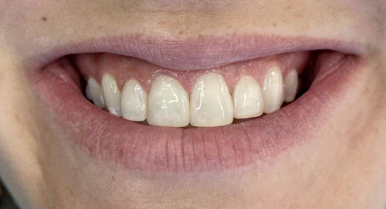
Benefits of Tooth-Colored Composite Fillings

At our Woodbury, MN, dental office, we exclusively use a tooth-colored composite resin instead of silver amalgam fillings because it offers several benefits: 

More Aesthetically Pleasing

Tooth-colored fillings are a blend of materials, including glass or quartz particles, in an acrylic resin medium. The result is a filling that has translucent qualities similar to tooth enamel. 

Our dentists match the shade of the filling material to your tooth, then build it up layer by layer to match the tooth’s contours and create an invisible repair.

Preserves Healthy Tooth Structure

Filling a tooth with amalgam requires removing a significant amount of healthy tooth structure and then placing the material in the hollowed-out space. Compare this to a composite resin filling that we bond directly to the tooth to strengthen and protect it and create a durable repair.

Helps Protect Long-Term Oral Health

Metal fillings that sit in the center of a tooth expand and contract with hot and cold temperatures in the mouth. Over time, this creates crevices around the filling where bacteria can enter and cause further decay.

A tooth-colored composite filling that’s bonded directly to the tooth does not react to temperature changes.

Cosmetic Dental Bonding

We also use tooth-colored composite resin for dental bonding to restore chipped, cracked, or broken teeth, fill uneven gaps between teeth, and conceal a dark or discolored tooth.

Our cosmetic dentists can also use bonding for direct veneers, an affordable alternative to lab-created porcelain veneers. Bonding is also effective for protecting tooth roots exposed due to gum recession.

Do You Have a Cavity and Need a Filling?

Excellent at-home oral hygiene and dental checkups and cleanings every six months are your best defense against cavities and gum disease. However, we are a judgment-free dental office, and if you have a toothache or think you have a cavity, we want to help you.

Please call our Woodbury, MN, dental office to schedule an appointment.

Meet Our Doctors:

Dr. Michael Pelke

Dr. Michael Pelke is an owner and most senior dentist at Woodbury Dental Care. He started in private practice in 2002 and teamed up with Dr. Kyle Edlund in 2004. ...

Dr. Emily Wernberg

Dr. Emily Wernberg was born and raised in Eagan, Minnesota. She attended the University of Wisconsin-Madison, earning her Bachelor of Science degree in kinesiology and biology. She decided to continue ...

Dr. Stephanie Wenzel

Dr. Stephanie Wenzel is a third-generation dentist who, along with her father and grandfather, attended the University of Minnesota, where she earned her Bachelor of Science degree in biology and ...

Dr. David Augustson

Dr. David Augustson was born and raised in Sheboygan, Wisconsin. He moved to Minnesota to attend Macalester College, where he graduated with a Bachelor’s Degree in Biology.

Before attending dental school, ...

Dr. Charles Shimota

Dr. Chip Shimota was born and raised in Woodbury, Minnesota. Just as any other lifelong WDC patient would do, he chose to spend the next eight years of his life ...

Durable Tooth-Colored Fiillings in Woodbury, MN
Speak with Us Now