Woodbury Dental Care
A Great Dentist
Woodbury Dental Care
A Great Dentist
Contact Us
Like us on Facebook
Leave a Google Review
Instagram
(651) 739-7910
215 Radio Drive, Suite 201
Woodbury, MN 55125
Patient Log-In
Home
About
Our Team
Technology
Office Pictures
Services
View All
Dental Crowns & Bridges
Cosmetic Dentistry
General Dentistry
Invisalign Clear Braces
Dental Implants
Emergency Dental Care
Tooth-Colored Fillings
Root Canal Treatment
Tooth Extraction
TMJ & Bruxism Treatment
Smile Gallery
Patient Info
View Patient Info
Testimonials
Forms
Financial
FAQs
Access My Account
Contact
Woodbury Dental Care
>
Smile Gallery
>
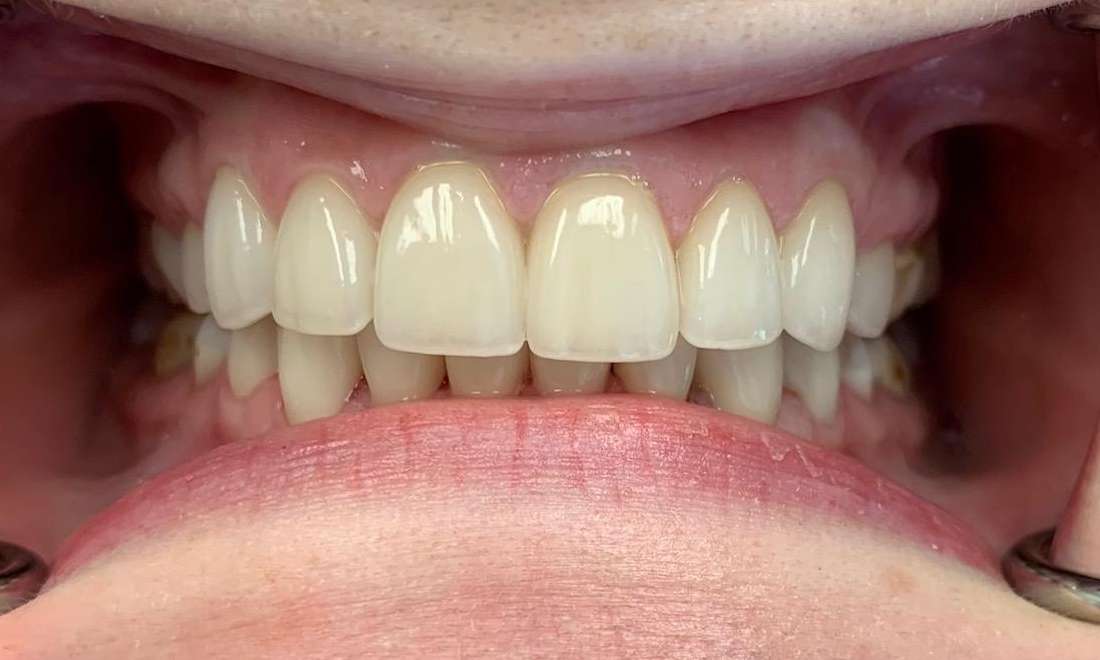
Anterior Cosmetic Crowns
Anterior Cosmetic Crowns
Return to Smile Gallery
Previous
Next
Crowns completed on front teeth to improve esthetics
Related Services:
Cosmetic Dentistry
Dental Crowns & Bridges
Click image to see a larger picture
Before
After
Have Questions? Get in Touch
Contact Us
If you have difficulty using our website, please
email us
or call us at
(651) 739-7910
View the
ADA Accessibility Statement
Turn on ADA Views
OK!
×
×
Contact Us Today
Give Us A Call
Woodbury Dental Care -
(651) 739-7910
Send Us an Email
Ready to Schedule an Appointment?
Contact Us
Have Questions? Contact Us:
Required Field
Your Name:
Phone:
Email:
Are you a new patient?:
Are you a?
New Patient
Current Patient
How would you like us to contact you?
Please choose
Email
Call
How did you hear about us?
Please choose
I'm an existing patient
Google/Bing
Mailer
Word of mouth
Social media
Other
Who Referred You?:
Your Message:
This site is protected by reCAPTCHA and the Google
Privacy Policy
and
Terms of Service
apply.
Sending...
×
This Patient's Experience
Loading Testimonial...
Loading Case...